カテーテル検査・治療
東京女子医科大学病院循環器内科の心臓カテーテル検査室の歴史は古く、1980年代の日本における冠動脈カテーテル治療の黎明期から、積極的に治療に取り組んでまいりました。 当院では現在、年間約2000例のカテーテル検査、約500例の冠動脈カテーテル治療と約300例の末梢血管治療を行っております。
特徴としましては、糖尿病、透析、高齢の患者様など、治療抵抗性の患者様をより多く治療していることが挙げられます。
カテーテル治療の進歩は目覚ましいものがあり、特に、狭心症、心筋梗塞に対する冠動脈カテーテル治療においては、 2004年から本邦でも使用可能となった薬物溶出型ステントは、それまで一般的に15−20%程度とされていた再治療率を5%前後まで低下させ、治療成績の著明な改善を認めております。
また、末梢血管に対するカテーテル治療は、ここ数年で飛躍的な技術、治療器具の発達を遂げ、 閉塞性動脈硬化症(歩行寺の足の痛みが主症状)、重症下肢虚血(足指の壊死、難治性の潰瘍など)に対して、 これまでは治療不可能であったものに関しても、治療の幅が拡がってきている状況にあります。
私たちは、これまでの経験の蓄積に加えて、新たな技術の進歩を取り入れる姿勢も常に忘れず、 高度でかつ安全なカテーテル検査・治療を実践していくことを、医師のみならず、看護師、臨床工学技士、放射線技士含むスタッフ一同、日々心がけております。 他院では治療困難と言われた場合でも、是非一度ご相談ください。
Interventional Cardiology
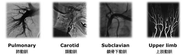
心臓を含め、血液が流れる全身の血管が治療対象です


当院で施行可能なカテーテル治療
- 心筋梗塞、狭心症に対する冠動脈カテーテル治療
- 四肢閉塞性動脈硬化症(間歇性跛行、下肢潰瘍・壊疽)に対するカテーテル治療
- 腎動脈狭窄による腎血管性高血圧、虚血性腎症に対する腎動脈ステント留置術
- 頸動脈狭窄症に対する頸動脈ステント留置術
- 急性動脈閉塞に対するカテーテル血栓吸引療法、カテーテル血栓溶解療法
- 深部静脈血栓症に対する下大静脈フィルター留置術およびフィルター抜去術
- 深部静脈血栓症に対するカテーテル血栓溶解療法およびカテーテル血管形成術
- 中心静脈閉塞、上・下大静脈症候群、腸骨静脈圧迫症候群に対するカテーテル静脈形成術
- 慢性肺血栓塞栓性肺高血圧に対する肺動脈バルーン拡張術
- 大動脈弁狭窄症に対するカテーテル弁形成術(バルーン拡張術)
- 僧房弁狭窄症に対するカテーテル弁形成術(バルーン拡張術)
- 他、血管内異物回収、血管穿孔・小動脈瘤に対するコイル塞栓など
実際の検査・治療の流れ
-

浴衣に着替え看護師と一緒に病棟を出発します。循環器科は心筋梗塞などの緊急治療が多く、 開始時間は予定より大きく変化しご迷惑をおかけする場合もあります。 検査は満腹の状態ではできないため治療前は食事はとらないで待機します。治療前には点滴を開始します。
-

看護師と一緒にカテーテル室へ移動します。歩行が可能な方は歩いて、不可能な方は車いすやベッドで移動します。
-

カテーテル室に到着です。まずは患者さん本人に名前を確認します。その後、病棟看護師とカテーテル室の看護師との間で情報の交換を行います。
-

スタッフの介助のもとカテーテル検査ベッドに横になります。歩行が不可能な方はベッドからベッドへスタッフが運びます。
-

心電図のパッチを張り付け、検査のための準備を行います。検査は基本的に全身麻酔は行わず、意識のしっかりした状態で行います。 よって検査中でもある程度の会話は可能です。何かあれば仰ってください。不安、緊張が強い場合、希望があれば軽い鎮静剤を投与することも可能です。 検査中に大きく動くと危険のため、なるべく動かないようにします。
-

消毒をしたのちに、清潔なシーツを全身にかけます。その後皮膚に局所麻酔を行い血管に針を穿刺します。 更にシースと呼ばれる菅(くだ)を動脈と静脈に挿入します。挿入するシースの数は行われる検査、治療の種類により変わります(1~3本)。 局所麻酔にて痛みは減らせますが、ある程度の痛みは伴います。痛みが強い時は局所麻酔の量を増やしますので仰ってください。
-

カテーテルを挿入し心臓や目的とする血管まで運び、造影剤を直接注入して血管を撮影します。 血管の狭窄度、心臓のポンプの力、心臓内の圧力などを測定します。
治療の際はこのまま狭窄部にガイドワイヤーを通過させ、バルーンで拡張、その後ステントと呼ばれる金属の筒を留置します。 検査のみなら通常30分~1時間程度、治療の場合は約1~2時間程度です(病気によっては長くなる場合があります)。 -

検査終了後はシースを抜去し、穿刺部を専用の器具で固定します。
下肢の動脈を穿刺した場合は、穿刺部を手で15分程度圧迫しその場で止血を確認します。
その後専用の圧迫具で圧迫し病室に帰ります。どの部位を穿刺するかは、検査の種類、治療部位、透析をしているかどうか、などで異なります。 -
患者さん役はスタッフに協力してもらいました。 検査終了です。お疲れさまでした。看護師と一緒に病室に帰ります。
手から検査を行った場合は車椅子で、足からの場合や歩行不可能な方はベッドで帰室します。
手からの場合は通常、治療後から歩行が可能です。
足から検査を行った場合は病室で5-7時間は絶対安静です。
その後絶対安静が解除可能かどうか穿刺部の確認を行った後に、更に2時間のベッド上安静とします。
絶対安静中に動くと再出血し危険のため、なるべく動かないように注意します。
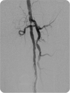
腎障害のある方への炭酸ガス造影に関して
カテーテル検査、治療には、通常造影剤という薬剤を血管に注入する必要があります。
しかし造影剤には腎臓に対する毒性やアレルギー反応という問題があり、重篤な腎機能障害を有していたり、過去に造影剤にて重篤なアレルギー症状を来したことのある患者さんには使用が困難です。
そこで当院では、こういった患者さんに対してのみ、生体に影響が少ないとされる炭酸ガスを造影剤の代わりに用いています。
炭酸ガスは酸素に比して約20倍も血液に溶け、そのほとんどが投与後すぐに体外に排出されます。
低侵襲性、低コスト、そして何よりも無腎毒性、無アレルギー性を最大の利点としています。
通常の造影剤より画像の鮮明さという点で劣り、完全に通常の造影剤に取って代わることはできませんが、炭酸ガスを用いることによって通常の造影剤の量を減量することも可能です。 また炭酸ガス造影に血管内超音波検査などの血管内イメージ機器を併用することにより更に造影剤の低減が可能です。
冠動脈や脳動脈など、短期的な虚血でも強い症状が出現する臓器への使用は困難ですが、主に下肢などの下半身の血管造影の際に施行しています。

炭酸ガスによる大腿動脈の造影

通常の造影剤による大腿動脈の造影
2012年 治療実績

※末梢血管インターベンション他の治療数は頸動脈、腎動脈、四肢血管、静脈狭窄、下大静脈フィルターなど冠動脈インターベンション治療以外の全ての合計としています。