はじめに
社会の高齢化および食生活の欧米化により血管病は増加の一途です。 また動脈硬化は全身の血管を侵し、1つの動脈硬化疾患を有する方は、他の部位にも重篤な動脈硬化を持つ場合も多く、局所の治療だけでなく全身の管理が必要となります。
こういった心血管病に対し以前は外科手術を行ってきましたが、昨今カテーテル治療の技術革新と普及により、より体の負担の軽い形で治療を行うことができるようになりました。
体に2mm程度の小さな穴をあけるだけで治療が可能なため、1~2泊のみの入院で治療ができ、 退院後早期に仕事に復帰することができます。
またご高齢の方であれば、現在の体力、認知能力、生活レベルを落とすことなく、すぐに日常生活に戻ることができます。
重篤な持病があり体力的に手術が困難な方、また諸事情により長期入院が困難な方などにも適した治療と言えます。
外科手術と異なり皮膚、骨、神経といった周辺の組織を損傷することなく治療部に到達することができるため、手術後の傷口の痛み、しびれ、運動障害といった合併症を極力減らすことが可能です。
当院では年間500例以上の冠動脈カテーテル治療に加え、 300例以上の下肢動脈、頸動脈、腎動脈、静脈疾患などの全身血管に対するカテーテル治療を行っています。
しかし単に治療数を増やすだけでなく、治療を行う際には治療の必要性について十分吟味し、薬による治療、 運動療法を含めた様々な選択肢から最適な治療法を決定していきます。
また当院では大学病院という性質上、治療困難な症例が集まることが多く、高い治療技術が要求される慢性完全閉塞病変、高度石灰化病変などに対しても、数多くの治療を行っております。
心臓血管疾患でお悩みの方、セカンドオピニオンをお求めの方、 他院にて技術的に治療困難とされた方など様々な患者さんを広く受け入れ、各々の患者さんに合ったベストな治療選択肢をご提案します。是非ご相談ください。
急性心筋梗塞
心臓の筋肉を栄養する冠動脈の中にできた“プラーク”と呼ばれる動脈硬化部に血栓が集まり冠動脈が閉塞することにより発症します。
急速に心臓の筋肉が壊死していき、放置した場合極めて死亡率が高い重篤な病気です。
突然の胸痛・胸部圧迫感で発症することが多いのですが、背部痛、肩から手にかけての重たいような感じ、喉の周りの違和感、胃部不快感など非典型的なものもあり、注意が必要です。冷汗を伴うこともあります。
即時のカテーテル検査により冠動脈の閉塞部を特定し、血栓吸引、バルーン拡張、ステント留置などにより血流を再開させる治療が必要です。
安定型狭心症
歩行や運動により、胸痛、胸部圧迫感(肩、腕、喉、歯、背中などに症状がでる場合もあります)が生じます。
症状は安静により数分で消失します。心臓の筋肉に血液を供給している冠動脈が動脈硬化により狭くなり、運動時など心臓が酸素を要求する際に十分な血流を送れないことが原因となります。 発症に関与する危険因子としては、高血圧症、糖尿病、脂質異常症、喫煙、肥満、家族歴などがあります。
治療としては、心臓の過剰な動きを抑えたり、冠動脈を拡張する薬物治療に加え、狭窄部位を直接拡張するカテーテル治療あるいは冠動脈バイパス手術(CABG)が必要になります。
不安定狭心症
狭心症発作の頻度や持続時間が急に増えたり、胸部症状の程度が強くなったり、今までは歩行時や運動時にしか起きなかった狭心症が安静時にも出現するようになったものです。 放置しておくと冠動脈が閉塞し、急性心筋梗塞症に移行する可能性が高く、緊急入院およびカテーテル検査が必要な状態です。
冠攣縮(れんしゅく)性狭心症
冠動脈に動脈硬化による狭窄はありませんが、冠動脈の一過性けいれんにより血流が途絶え狭心症が出現します。安静時(特に夜間から早朝、喫煙時、飲酒後翌日など)に症状が出現することが多い病気です。
多くはカテーテル検査により診断することができます。治療としては血管を拡張しつづける薬剤を毎日内服する必要があります。
狭心症、心筋梗塞など冠動脈疾患に対するカテーテル治療
血栓吸引療法、バルーン拡張術、ステント留置術、ローターブレーター治療、レーザー治療、などがあり、これらの治療を組み合わせて治療を行います。

炭酸ガスによる大腿動脈の造影

通常の造影剤による大腿動脈の造影
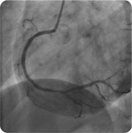
心筋梗塞を発症した際の冠動脈造影と治療後
血栓をカテーテルで吸引した上でバルーンにて拡張。更にステントを留置し、血流が再開しています。
冠動脈ステント留置術


冠動脈のカテーテル治療は、通常バルーンでの拡張をまず行います。
しかしバルーン拡張だけでは、すぐにまた血管が狭窄してしまうリコイル現象を起こしてしまう場合があります。
またバルーンでの拡張は、血管の壁を傷つけ(血管解離)、この傷が大きいと、十分な血流の改善が得られず、場合によっては再閉塞を来します。
このためほとんどの治療において、バルーンでの拡張後にステント(金属でできた網状の筒)を留置します。
ステント留置はリコイル現象を防ぎ、血管の解離も修復することができるすぐれた治療法です。
しかしステント治療を行っても治療後6か月程度するとステントの中に新生内膜と呼ばれる膜が過剰に発達してしまい再度狭窄してしまう場合があります(再狭窄現象)。
この再狭窄現象を抑制するべく登場したのが、現在冠動脈治療の主流となっている薬剤溶出性ステントです。ステントの表面に薬を塗布してあり、これが少しつ溶け出すことにより再狭窄を強力に抑制します。 初代の薬剤溶出性ステントはステントに血栓が集まり急激に閉塞するステント血栓症や、1年以上たって起こる遅発性再狭窄などの問題が指摘されていました。
しかし現在はこれらの問題を解消すべく改良された新世代薬剤溶出性ステントが複数使用可能であり、 当院では主にこの新世代の薬剤溶出性ステントを用いて治療を行っています。
ロータブレーター治療


先端のドリル部分に20μのダイヤモンドが埋め込まれ、これが1分間に約20万回転で高速回転し、 石灰化した動脈硬化をヤスリのように削り取っていくものです。
動脈硬化が石灰化し固くなってくると通常のバルーンでは拡張が悪くなり、 拡張が悪い状態でステントを留置してもステントそのものが十分に拡がらず、 再度狭窄を来してくる可能性が高くなりまます。こういった固い病変に対して、 ロータブレーターが使用されます。透析をされている方や高齢者は高度な石灰化病変を有することが多く、 ロータブレータ―の必要性が高くなります。 当院では透析をされている患者さんの治療が他院と比べて非常に多いためロータブレーターを必要とすることが多く使用経験も豊富です。
レーザー治療


カテーテルの先端からレーザーを照射して、閉塞部の血栓や動脈硬化組織を蒸散、除去し血流を再開させることができます。
バルーンやステントなどが病変部を通過できない場合にも病変組織を蒸散させながら通過できる場合があります。
様々な血管内評価機器が使用可能です


血管造影は血管を影絵のように写す検査ですが、血管造影に加えて血管を内側から観察することができる機器に血管内超音波、 OCT、血管内視鏡があります。当院ではいずれの機器も使用可能で、これらの血管内評価機器を積極的に駆使することにより、 より精度の高い検査、治療を実践しています。