心臓MRI検査について
MRIは磁石と電波を使って心臓の細かい断層写真を撮り3Dで立体表示します。 東京女子医大病院では現在 6台のMRI装置(1.5テスラ5台、3テスラ1台)が稼働しており、 様々な部位・疾患に対して活用されております。画像診断の進歩によりMRI検査にて心臓のより詳細な評価が可能となってきました。
検査時間は全部で30 ~60 分です。 心電図をモニターしながら心臓の動きに合わせて検査を行います。 心臓の件数は年間約350件で漸増しています。MRIでは強力な磁力と電波を使用し撮像には時間を要しますが、被曝がない分、小児や女性にも優しい検査といえます。
心臓MRI検査でわかること
MRIでは非造影で放射線被爆を伴うことなく冠動脈形態の評価を行うことができます。またガドリニウム造影剤と様々なシーケンスを併用し、シネMRIによる心筋壁運動評価や、 パーフュージョンMRI、遅延造影MRIによる心機能評価を行うことが可能です。
シネMRI
心臓の動きを1心拍16~40の動画で撮影し、心臓の形態、壁厚、壁運動評価、左室機能評価等を行います。シネMRIは空間分解能に優れ、壁運動や左室ポンプ機能評価に関し再現性、精度の点から最も正確な検査法と言えます。 またT1強調画像、T2強調画像と組み合わせて心内血栓や心臓腫瘍の診断にも有用です。
T2強調画像
炎症や心筋浮腫が高信号を呈するため、急性心筋梗塞や心筋炎、サルコイドーシスなどで診断や病状評価に用いられます。
パーフュージョンMRI
ガドリニウム造影剤を注入後、造影剤が心筋を通過するfirst passの動態をダイナミック撮像にて観察し心筋血流分布を評価します。
遅延像影
ガドリニウム造影剤を注入10-15分後に撮像を行い、梗塞領域や線維化領域を高信号に描出します。心内膜下梗塞の診断や心筋バイアビリティの評価、また肥大型心筋症、拡張型心筋症、心臓サルコイドーシス、 心臓アミロイドーシスなど心筋症の診断や予後評価をすることが可能です。
冠動脈MRA
呼吸及び心電図同期を併用しながら、冠動脈内の血流信号を画像化します。造影剤を用いることなく冠動脈形態評価が可能であり、また冠動脈石灰化の影響を受けずに検査が可能であることから、 冠動脈CT検査では評価困難な高度石灰化例や呼吸停止困難な症例の検査が可能です。
心臓MRI検査の流れ
-
診察、問診
MRIは磁石と電波を使用する検査のため、体内に磁気が通るものがないか確認します。 また、検査を御理解頂き、同意書に署名していただきます。 -
撮影準備(約5-10分)
検査着にお着替えいただきます。 検査台に休んでいただき胸に電極などをつけます。 -
撮影(約1時間)
撮影は数秒の息止めを繰り返し行います。 鮮明な画像を撮影するために造影剤を使用いたします。
心臓MRIの利点
- CTや核医学検査と異なり放射線による被爆がありません。
- 心臓の解剖学的異常(先天性心疾患、冠動脈奇形など)、機能障害(弁膜症の心不全など)、腫瘍の診断に役立ちます。
- 造影剤なしでもある程度の冠動脈評価が可能です。
- 造影剤によるアレルギー反応は、CTや血管造影で使用されている造影剤よりも少なくすみます。
心臓MRIの欠点
検査には一時間ほどの時間がかかります。また下記の方は検査が行えない場合があります。
- 心臓ペースメーカーを装着している方
- 人工内耳、除細動器、神経刺激装置、可動型義眼を装着している方
- 体内磁性デバイス(初期の脳動脈瘤クリップ、人工内耳、大動脈ステントグラフトなど)を装着している方
- 閉所恐怖症の方
- 息止めができない方(検査には10数秒の息止めが10数回必要です)
- 腎機能の悪い方
- 造影剤にアレルギーのある方
- 高度の不整脈のある方
症例
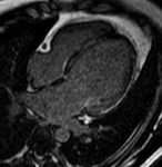
前壁中隔心筋梗塞症例)黒く描出された正常心筋に対し、 前壁中隔内膜側に遅延造影像を認め、心筋梗塞による障害心筋の評価が可能です。
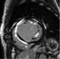
(拡張型心筋症)左室の拡張と中隔に線状の遅延造影像を認めます。
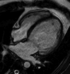
(心臓サルコイドーシス)前壁~中隔外膜側に遅延造影像を認め、原疾患により障害を受けて線維化した心筋を認めます。
(冠動脈MRI)