心臓CT検査について
狭心症や心筋梗塞などの虚血性心疾患は年々増加傾向にあり、現在国内死亡原因は癌に次ぎ第2位となっております。心臓CTはマルチスライスCTという装置を用いて心臓を撮影し、コンピュータ処理し3次元画像を含む様々な方向から心臓を診断する手法です。 心臓は体内でも動きが活発な臓器の一つで静止画撮像が難しい分野でした。しかし近年の画像診断技術の進歩により、これまで主に入院での冠動脈造影などの心臓カテーテル検査で評価されていた冠動脈病変や心筋症の診断が外来CTでも可能となりました。
当院では64列マルチスライスCT(Aquilion ( 東芝メディカルシステムズ社製)で年間約150例の検査を施行しております。また2012年4月から同社の最新式の320列CT(Aquilion One)が導入され、従来よりも被爆量が最大1/5少なく、撮影時間は0.35秒と短く、 造影剤の量が半分以下での検査が可能となりました。当院ではこれらの装置と最新の画像解析ワークステーションを活用して、 先進医療も含めた循環器画像検査を積極的に行っております。

心臓CT検査でわかること
心臓CTの利点
- 外来で、短時間かつ安全に冠動脈の評価ができます。
- 心臓の情報以外に胸部~上腹部の情報も得られます。
心臓CTの欠点
- 冠動脈末梢の描出が心臓カテーテル検査に劣ります。
- 石灰化が強い場合、冠動脈狭窄の評価が困難な場合があります。
- 心臓カテーテル検査と同様放射線被爆、造影剤の副作用の可能性があります
心臓CT検査に関する患者様への注意事項
- 検査には造影剤を使用しますのでアレルギーの既往等、造影剤使用に関する問診をお伺いし、検査に対する同意書を書いて頂く事が必要です。
- 心臓CTでは心電図に併せて静止画像を撮像するために、シール状の電極を胸部に貼り付けます。
- 冠動脈CTでは冠動脈を正確に評価するために脈拍数を下げて検査に臨むことが必要です。 安静時の脈拍が65回/分を超える方は検査2時間前に来院して脈拍を下げる薬(β遮断薬)を飲んで頂く必要があります。
- 冠動脈の細い血管まで描出するために、撮影直前に冠動脈を拡張させる薬(ニトログリセリン)を舌下していただきます。(血圧が低い場合は使用しません)
心臓CT検査の流れ
-
診察、問診
心拍数を下げる必要のある方は服薬 ゆっくり心拍を下げていきますので薬を内服後一時間前後安静にしていただく必要があります。 -
撮影準備(約5-10分)
鮮明な画像を撮影するために造影剤を使用いたします。 -
撮影
撮影は数秒の息止めで行います。 -
診断
コンピュータ解析での画像再構成及び評価が必要なため所見作成には数日を要します。
検査時間は平均で15分です。検査前に来院していただき、必要に応じ脈を安定する薬を内服していただきます。外来状況、他の検査の増加により、検査時間が変動することある事をご了承ください。
以下のような方に心臓CTはお勧めです。
- 胸痛、胸部圧迫感、動悸、息切れなどの自覚症状を持つ方
- 高血圧、糖尿病、脂質異常症、喫煙歴などの危険因子を有している方
- 心電図異常を指摘された方
- ご家族に心臓病を有されている方
- 心臓に不安のある方
ただし、下記の方は検査が行えない場合があります。
- 5~10秒程度の息止めができない方(検査には息止めが必要です)
- 腎機能の悪い方
- 造影剤にアレルギーのある方
- 不整脈のある方
患者様の腎機能チェックや造影剤の使用可否等につき、担当医よりあらかじめ確認させていただきますことをご了承ください。ご不明な点があれば主治医に御相談ください。
正常冠動脈
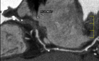
冠動脈狭窄症例
CTO、側副血行路例