四肢閉塞性動脈硬化症(ASO、PAD)
手足を栄養する動脈が狭くなったり閉塞したりすることにより発症し、ASOないしPADとも呼ばれます。おもに以下のような症状を来します。
-
間欠性跛行
歩くと足が痛くなり、長時間の歩行が難しくなります。 一定の距離を歩くと足が痛くなるので、無意識にあまり歩かなくなり、 生活レベルが低下します。これにより下肢の筋肉は委縮し、更に歩行能力が低下します。 現在、生活習慣病のためウォーキングなどの運動療法をしている方には支障を来たすことになります。 重症下肢虚血
下肢の血流低下が更に悪化すると、安静にしていても足が痛く夜間眠れなくなったり、 足にできた傷がなかなか治らなくなります 。 下肢壊疽から下肢切断になるリスクが極めて高い状態です。 また傷口に細菌が繁殖すると、菌血症から命を落とす場合もあります。 薬物治療単独では効果は不十分で、切断を回避するには早期に下肢の血流を再開させる必要があります。カテーテル治療について
上肢および下肢動脈のカテーテル治療は、狭くなった部分をバルーンやステントを用いて拡げ血流を再開させる治療です 。 これによって歩行時の足の痛みを改善したり、足の傷の治癒をうながしたりします。また下肢切断がやむをえない状態であっても、 切断する範囲を小さくしたり、切断後に高い確率で起こる切断部の合併症(感染症,壊死)や再切断を予防するのに役立ちます。

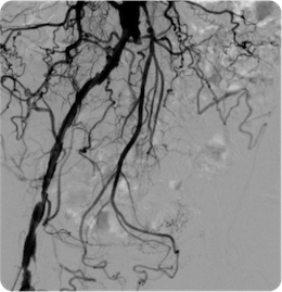
治療前

治療後
血管造影
左腸骨動脈が完全閉塞しており、左下肢の冷感、痛みを認めました。ステントを留置しいずれの症状も消失しています。
腎動脈狭窄(RAS)による腎血管性高血圧、虚血性腎症
腎動脈に狭窄が起こると高血圧を来します。また腎臓は萎縮し腎機能(老廃物を排泄したり、体の血液の成分を一定に保つ機能)が低下したり、虚血性腎症から腎不全を発症する場合もあります。 さらに腎動脈狭窄は心臓にも影響し、心不全や不安定狭心症の原因となる場合もあります。 多くの腎動脈狭窄は動脈硬化が原因として発症しますが、若い人では線維筋性異型性症と呼ばれる病気が腎動脈狭窄の原因となる場合があります。
通常の高血圧(本態性高血圧)と判断され、単に血圧の薬のみが投与されていたり、 糖尿病を原因とした腎臓病(糖尿病性腎症)と判断され薬物治療が選択される場合が多く、 原因となる腎動脈の狭窄は見逃されることが多いのが現状です。
カテーテル治療について
高血圧を改善させ、腎機能の悪化を食い止めるための根本的な治療は腎動脈の血流を再開させることにあります。腎動脈狭窄に対し外科手術(バイパス手術)は通常施行されておらず、 カテーテルによる治療が唯一の根本的治療と言えます。主にステントにより血管を拡張します。
また様々な全身の動脈硬化疾患を合併する場合も多く、腎動脈以外の病気の評価が必要となります。

両側腎動脈狭窄
高血圧、腎機能の悪化、心肥大にて発見された両側腎動脈狭窄症。 両側ともステントを留置し、血圧、腎障害の改善を認めました。
頸動脈狭窄症
脳に栄養を送る最も重要な血管が頸動脈です。この頸動脈に生じた狭窄は、脳梗塞の原因の1つになると言われています。頸動脈狭窄に対しては元来、頸動脈内膜剥離術(CEA)という手術が施行され、 有意に脳梗塞を予防する効果が示されております。
しかし外科手術は全身麻酔下で行われ、 体に対する負担がある程度伴います。頸動脈狭窄以外に病気をお持ちでない通常の方であれば全く問題はありませんが、頸動脈狭窄を有する方は冠動脈にも狭窄を持つことが多いことを考慮すると、治療に伴う心筋梗塞などのリスクも懸念されます。また手術が困難となる通常より高い位置での頸動脈狭窄(日本人に多い)、 手術後の再狭窄、2本ある頸動脈の反対の頸動脈が閉塞している場合、 心臓および肺などに重い病気を持っている場合、などはその治療リスクが上がります。
カテーテル治療について
こういった高いリスクが想定される患者さんに対し、 カテーテルによるステント留置術が施行されるようになり、現在では頸動脈内膜剥離術とほぼ同等の効果が示されるようになってきています。頸動脈のステント留置術では、ステント拡張時にプラークが剥がれ落ちて脳に飛んで脳梗塞を起こさないように、治療時は全例、病変の先にフィルターを置いた状態で治療を行います。 既に何かしらの症状が発症している場合は50%以上、 無症候性では80%以上に狭窄度が進行している場合にカテーテル治療の適応となります。

動脈硬化は全身に起こり、脳、心、末梢動脈疾患は重複して持つ場合があります。
急性動脈閉塞
心臓内にできた血栓や、大動脈の壁にくっついた血栓がはがれ、 血流に乗って上肢や下肢の動脈を閉塞し、急激な虚血症状を呈する疾患です。多くは心房細動という不整脈や心臓弁膜症、また心筋梗塞などが原因となって生じます。ある日突然、手や足が痛んだり、冷たくなったりします。その後、しびれや痛みが強くなったり、感覚がなくなったり、うまく動かせなくなってきます。更に悪化すると壊死して黒くなってきます。
カテーテル治療について
この病気はとにかく早期に病院に受診し、詰まった血流を再開させる必要があります。 緊急でカテーテル検査を施行し閉塞部を確認したのちに、外科的に血栓を摘出したり、 カテーテルで血栓を吸引したりする必要があります。 既に壊死が進行してしまった場合は手足の切断が唯一の救命方法になります。 治療が遅くなった場合、下肢切断率、死亡率がとても高い病気です。

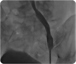
治療前

治療後
両側腸骨動脈の血栓閉塞に対するカテーテル治療
両下肢の疼痛、冷感、運動障害にて入院し緊急カテーテル検査を施行。 両側腸骨動脈に多量の血栓を認め、カテーテル血栓吸引療法を行い即座に血流を再開させました。
深部静脈血栓症(DVT)、肺血栓塞栓症(PTE)
多くのカテーテル治療の対象が動脈系の病気であるのに対し、 深部静脈血栓症は静脈が血栓(血が固まったもの)により閉塞する病気です。これにより心臓に帰ることができなくなった血液は下肢や上肢に充満することになり、むくみや炎症を引き起こします。
そしてこれが長期間続くと静脈の中にある逆流防止弁が不可逆的に破壊され、 血液が逆流するようになり、慢性的なむくみ、色素沈着(皮膚が褐色~黒色になること)、皮膚の硬化(皮膚表面が硬くなること)、さらに難治性の潰瘍(傷)ができる場合があります。
またこの血栓が心臓や肺動脈へ飛んでいくと肺血栓塞栓症(エコノミー症候群と呼ばれる場合もあります)と呼ばれる命に係わる重篤な病気を引き起こします。 以前は欧米において多い疾患と言われていましたが、昨今本邦においても患者数が多いことが分かってきました。
治療
治療は以下の中から、患者さんの病状に適した治療法を複合的に選択し行われます。
-
抗凝固療法
ヘパリンやワーファリンといった血液をサラサラにする薬剤を点滴および内服薬で投与する方法です。すぐに血栓を溶かす効果はありませんが、長期投与することにより少しずつ血栓を溶かすことを目的とします。 また今後の血栓症の再発を予防する効果があります。 -
血栓溶解療法
モンテプラーゼやウロキナーゼという薬剤を点滴投与することにより、 血栓を急速に溶かすことを目的とします。発症間もない時期に使用します。より重症の場合に用います。 -
下大静脈(IVC)フィルター
足にできた静脈血栓が肺動脈に飛ばないように、 下大静脈と呼ばれる下肢と肺の中間部の大きな静脈にフィルターを留置します。これにより足から飛んでいった血栓をキャッチし致命的となる肺塞栓(PTE)を予防します。 -
カテーテル血栓溶解療法(CDT)
下肢の腫脹や疼痛など強い症状を伴う場合に行われます。 血栓の中にカテーテルを一定期間留置し、血栓の内側から血栓溶解剤を直接噴射し急速に血栓を溶解させます。通常の抗凝固療法や血栓溶解療法より早期に血栓を溶解させることができるため、 早期に症状を改善し、また静脈弁をある程度温存することできるため、後に起こる血栓後後遺症(浮腫、色素沈着、皮膚硬化、潰瘍)を減少させることができます。

治療前 血管造影
左腸骨静脈は全長に渡り血栓像を認める

カテーテル治療後
血栓吸引により閉塞静脈の再疎通が得られました
血管造影
静脈狭窄症
腸骨静脈圧迫症候群
下肢への栄養に関する最も大きな血管が腸骨動脈および静脈です。下肢を栄養する酸素をたくさん含んだ動脈血が流れる腸骨動脈と下肢に栄養を送り終えた静脈血が通過するのが腸骨静脈です。 これらの血管は並んで走行しますが、内圧の高い動脈が内圧の低い静脈を圧迫し、心臓へ戻る静脈の血流が障害されると、下肢に血流がうっ滞し、浮腫、だるさ、色素沈着、皮膚の硬化などの症状が出現します。 また深部静脈血栓(詳細は深部静脈血栓症の項を参照)の原因の1つとなる場合もあります。静脈内にステント(金属でできた網状の筒)を留置することにより圧迫を解除します。
上大静脈および下大静脈症候群
上大静脈症候群の場合は肺がん、縦隔腫瘍、胸部大動脈瘤、 下大静脈症候群の場合は肝臓がん(転移を含む)などが原因となり、大静脈が圧迫され、心臓へ戻る血流をせき止める病気です。心臓に戻れなくなった血液は四肢に貯留し浮腫を来します。 静脈内にステントを留置することにより、自覚症状の改善が得られます。悪性腫瘍が原因となり発症する場合が多く、この場合悪性腫瘍を治す治療ではなく、現在認めている自覚症状の改善が治療の目的となります。
透析をされている方の中心静脈閉塞
透析をされている方は上肢に動静脈シャント(AVF)を作成する必要があります。 シャントがある場合、上肢を流れる動脈血の一部は指先まで流れず、シャントを介して、すぐに心臓に戻ってくることになります。この戻ってくる静脈のどこかに狭窄、閉塞が存在すると上肢は著明に浮腫んだり、皮膚の下の静脈が隆々と怒張したり、手が赤紫色にうっ血したり、 ときに顔面や首、肩などの浮腫などを伴う場合もあります。 こういった静脈狭窄ないし閉塞に対しバルーン拡張、ステント留置などを行います。必要に応じてシャントなどのブラッドアクセスを専門に扱う腎臓病センターの医師とも相談の上で治療を行っていきます。

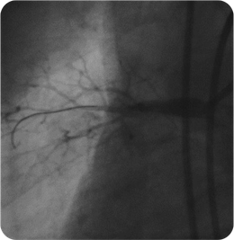
治療前

治療後
透析患者における中心静脈閉塞に対するカテーテル治療
シャント側に生じた浮腫、血管の怒張などの自覚症状の改善、およびシャントの温存のために行われます。
慢性血栓塞栓性肺高血圧症(CTEPH)
肺動脈が血栓で閉塞することにより肺動脈の圧力が上昇し、 呼吸困難、易疲労感、動機、浮腫などが生じ日常生活が困難になる病気です。難病指定を受けており、治療が極めて困難な病気です。肺動脈血栓内膜摘除術(PEA)という外科手術により治療することが可能ですが、 この手術に熟練した術者がいる施設は極めて少なく、更に、血栓が血管の末梢に存在する場合は治療が困難なります。また高齢者、その他の重篤な持病がある方は、手術の危険が高く手術適応がありません。またこの病気に対し薬物治療単独では十分な効果が得難いというのが現状です。
カテーテル治療について
近年、閉塞した肺動脈をバルーンを用いて拡張するカテーテル治療が日本を中心に行われてきております。 本邦での治療の歴史が浅く、また治療を行える施設も少なく、 治療方法などが完全には確立されておりませんが、治療の有効性が少しづつ示されつつあります。 当科でもここ数年積極的に治療を行っております。

治療前

治療後
慢性肺血栓塞栓性肺高血圧症に対するカテーテル治療
肺動脈のつまりを改善させ、肺動脈圧を低下させることを目的に治療を行います。 バルーンを用いて血管を拡張します。 ほとんどの場合、狭窄ないし閉塞血管は複数あり、数回にわけて治療を行う必要があります。
慢性血栓塞栓性肺高血圧症(CTEPH)
僧帽弁は心臓の4つある部屋のうちの左房と左心室の間にある逆流防止弁です。 これが癒着などにより狭くなった状態が僧帽弁狭窄症です。左房から左心室への血液の流れが障害されるために狭窄の上流に存在する肺に血液が貯まり肺うっ血をきたし、息切れ、動悸、呼吸困難などの心不全症状を引き起こします。
また僧帽弁狭窄では左房に血流が停滞するため、 心臓の中に血液のかたまり(血栓)が生じることがあります。また左房の負担が強くなると心房細動という不整脈を起こしやすくなり、この心房細動を合併すると血液の停滞はさらに悪化し、ますます血栓ができやすくなります。 この血栓が全身へ飛んでいき、脳梗塞や全身の血栓塞栓症などを引き起こします。
心不全症状にはおもに利尿薬、そして血栓症を防ぐためにワーファリンなどによる抗凝固剤薬、 また心拍数を抑制するためにβ遮断薬などの薬物療法が行われます。
しかし根本的な治療は外科手術になります。 開胸外科手術では、僧房弁形成術また人工弁置換術があります。人工弁置換術には機械弁と生体弁があり、それぞれの患者さんに合わせ選択されます。また心房細動を既に発症している場合、メイズ手術という心房細動の治療も同時にする場合があります。
カテーテル治療について
カテーテル治療としては、狭くなった僧帽弁をバルーンで拡げるバルーン弁形成術(PTMC 図1)が行われます。ただしカテーテル治療は弁の可動性が良好で、弁下部病変が軽度、僧帽弁逆流が軽度、左房内血栓を認めない、などの条件を満たす場合に限定されます。カテーテル治療が良いか、外科手術が良いかは、カテーテル治療医および心臓外科医との間で十分に話し合ったうえで治療法を決定します。
大動脈弁狭窄症
大動脈弁は心臓からの血液の出口に存在し、これが狭くなるのが大動脈弁狭窄症(図1)です。 主に動脈硬化が原因となります。心臓の出口がふさがった状態となるため、心臓のポンプの働きにおいて最も重要な左心室に過剰な負担がかかることになります。初めは自覚症状はありませんが、過剰な負担に心臓の力が負けてくると、めまい、動悸、息切れ、胸痛、失神、更に肺うっ血といった心不全症状が出現します。 またときに突然死の原因となります。
薬物治療では限界があり、根本的な治療は外科手術しかなく人工弁置換術が行われます。大きく分けて生体弁と機械弁があり、それぞれに長所と短所があることから、両者を使いわけて使用します
カテーテル治療について
カテーテル治療はバルーンにより大動脈弁を拡張する治療です(図2)。一過性にはある程度の改善が得られるものの、長期的には再度弁の狭窄を来すことが多く、一時的な治療法と言えます。このため、高齢者、重篤な全身の病気をお持ちの方、など手術が不可能とされている患者において、薬物治療のみでは対応できない心不全、ショック状態などの際に行われることが多くなります。