手術ハイリスクの重症大動脈弁狭窄症に対する経皮的大動脈弁置換術
- 心臓と大動脈の間に存在する扉である大動脈弁の動きが悪くなり息切れや心不全が生じる疾患である大動脈弁狭窄症に対する新しい治療法です。
- これまでは開胸手術による弁置換術が唯一の治療でしたが、TAVIによってより体の負担を少なく治療することが可能となりました。
- 長期成績はまだ明らかでないため、現在のところは手術が難しい患者さんに対象が限られていますが、良好な成績が報告されてきており、今後適応が拡大していくことが考えられます。
- 当院においては、心臓血管外科・麻酔科など多職種の協力のもと”ハートチーム”を形成し一丸となって一例一例の患者さんに対して全力で治療を行っています。

- これまで手術リスクが高いために治療困難であった重症大動脈弁狭窄症患者への新たな治療選択です。
- 主として大腿動脈を含む血管内からのアプローチで人工弁を留置することができ、開胸手術と比べて身体への負担が非常に少ない治療法です。

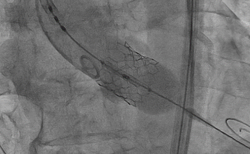
留置中

留置後

実際に留置される人工弁

SAPIEN3

Evolut R