重症僧帽弁閉鎖不全症に対するカテーテル治療
- これまでは外科手術が困難で治療を受けることができなかった方を対象として、より低侵襲なカテーテルによるアプローチで僧房弁の修復を行う治療です。
- 当院は2015年から約1年間行われた国内臨床治験に参加した全国6施設のうちの一つであり、保険償還された2018年4月から他施設に先駆けて治療を開始しています。
- 僧帽弁閉鎖不全による息切れや心不全を繰り返しているものの、高齢であることや腎不全などの理由で手術が困難な患者さん、また心機能が悪い重症心不全の患者さんで、併存する僧帽弁閉鎖不全症で困っているケースなどでも治療が可能と考えられます。
- 治療についてご希望の患者様は是非一度ご相談ください。



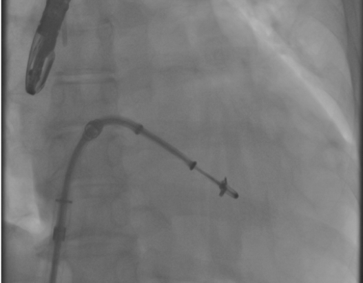
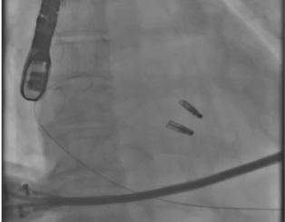
- 人工心肺が必要の無い僧帽弁形成術
- 拍動下でのリアルタイムな僧帽弁逆流の評価が可能
- 僧帽弁逆流が最大限消失する場所への弁尖把持が何度でも施行可能
- 外科的介入を温存することができる


